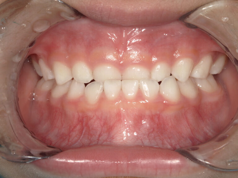
前歯の見た目が気になる
| 主訴 | 前歯の見た目が気になる |
|---|---|
診断 |
上顎正中離開、前歯部叢生 |
| 年齢・性別 | 35歳・女性 |
| 治療内容 | インビザラインによる矯正治療 |
| 治療期間 | 4ヶ月 |
| 治療費用 | 495,000円(調整料5500円) |
| メリット | ・詰め物や被せ物をせずに自身の歯の位置を整えて治せる ・短い期間で見た目が綺麗になる ・金属やワイヤーを使用せず、治療中も目立たない ・痛みがほとんど出ない ・矯正中も歯の清掃がしやすい |
| リスク副作用 | ・装着時間が短いと歯が動きにくい ・矯正後に保定を行わないと後戻りする可能性がある |
子供の受け口を治したい
治療前

治療後

| 主訴 | 子供の受け口を治したい |
|---|---|
診断 |
反対咬合 |
| 年齢・性別 | 4歳 男児 |
| 治療内容 | プレオルソ+MFT(筋機能療法) |
| 治療期間 | 4ヶ月 |
| 治療費用 | 55,000円(税込) |
| メリット | ・早期に正常な噛み合わせをつくれる ・基本は寝る時に装着しているので負担が少ない ・矯正中の痛みを感じにくい |
| リスク副作用 | ・装着を怠ると後戻りする可能性がある ・骨格的問題が発生する年齢で再度受け口になる可能性がある |



