セラミック治療症例
治療前

治療後

当院ではラバーダムを使用した精密な詰め物・被せ物治療をご提供可能です!
術中【ラバー―ダム】

術中接着

| 主訴 | 銀歯を白くしたい、舌で触れたときの段差も気になる |
|---|---|
| 診断 | 左上6番審美不良、2次う蝕 |
| 患者様の年齢 | 43歳 女性 |
治療内容 |
銀色の詰め物はやや隙間ができ始めておりそれが舌触りが悪い原因でした。その隙間から虫歯が発生していましたので虫歯を除去し、型取りを行いました。見た目をなるべく自然な仕上がりと舌触りも気にされていたので詰め物はセラミック(emax)で製作をしました。 後日、製作したセラミックの詰め物を接着性を高めるためラバーダム防湿(水色のゴムシート)をして接着しました。 |
| 治療期間 | 2回(①虫歯除去・型取り②詰め物接着) |
| 治療費用 | 66,000円(税込) |
| メリット | ・ご自身が希望する細かい色合いや自然な見た目を再現できる ・表面が滑らかで舌触りが良い ・劣化しにくく長期的に綺麗さを保てる |
| リスク・副作用 | ・虫歯除去の大きさ、詰め物の大きさによっては一時的に知覚過敏の症状が出ることがある ・歯ぎしりや食いしばりなどにより強い力がかかると破折する事がある |
ダイレクトボンディング治療症例
治療前

治療後

当院ではラバーダムを使用した精密な詰め物・被せ物治療をご提供可能です!
術中【ラバーダム装着、虫歯除去】

術中 充填完了

| 主訴 |
銀歯が取れてしみる、自然な感じに白くしたい
|
|---|---|
| 診断 |
右上6番インレー脱離、二次カリエス
|
| 患者様の年齢 |
48歳 女性
|
治療内容 |
取れた銀歯の下に虫歯がありましたので除去しました。
虫歯除去後、自費専用のハイブリットレジンにて白すぎず
自然な色合いに仕上げました。(ダイレクトボンディング)
|
| 治療期間 |
1日
|
| 治療費用 |
38,500(税込)
|
| メリット |
・治療当日に完了できる
・歯を削る量を最小限にできる
・自然な色合いや形態を再現できる
・接着性が高く虫歯リスクも低い
|
| リスク・副作用 |
・歯ぎしりや食いしばりが強い方は経年的な
・擦り減りが起こる可能性がある
・セラミックと比較すると経年的な劣化がやや早い
|
セラミック治療症例
治療前

治療後

当院ではラバーダムを使用した精密な詰め物・被せ物治療をご提供可能です!
術中【ラバー―ダム】

術中接着

| 主訴 |
詰め物が欠けた 綺麗に治したい |
|---|---|
| 診断 |
右下6番インレー破折 |
| 患者様の年齢 |
26歳 女性 |
治療内容 |
数年前に治したプラスチックの詰め物が破折し、やや虫歯になった部分を除去し型取りをしました。後日出来上がったセラミックの詰め物を装着して完了です。 |
| 治療期間 |
2日 |
| 治療費用 |
66,000(税込) |
| メリット |
・セラミックは物質的に劣化が少なく長期的に安定する ・自然な色合いや形態を再現できる ・接着性が高く虫歯リスクも低い ・プラーク付着が起こりにくく虫歯になりにくい |
| リスク・副作用 | ・歯ぎしりや食いしばりが強い方は破折する恐れがある ・セラミック強度を高めるために厚みが必要で金属よりも歯を削る必要がある |
セラミックの治療症例
治療前

治療後

当院ではラバーダムを使用した精密な詰め物・被せ物治療をご提供可能です!
術中【ラバー―ダム】

術中接着

| 主訴 |
過去に治療途中の歯を治したい、銀歯を白く綺麗に治したい |
|---|---|
| 診断 |
左上の詰め物の脱離、う蝕 |
| 患者様の年齢 |
45歳女性 |
治療内容 |
過去の治療途中の歯の虫歯の治療、その隣の歯の銀歯の下の 虫歯の治療を行いました。型取りをし、後日ラバータムを 装着してセラミックを装着しました。 |
| 治療期間 |
2日間 |
| 治療費用 |
¥66000×2 =¥132,000円(税込) |
| メリット |
・審美性に優れ、保険の詰め物と比較して材料の劣化が少ない。 ・プラーク付着が少なく、二次虫歯のリスクが低い |
| リスク・副作用 |
・歯ぎしりや食いしばりがある方はセラミックが破折 してしまうことがあります。 ・金属の詰め物と比較して切削量が多い |
セラミック奥歯の被せ物症例
治療前

治療後

当院ではラバーダムを使用した精密な詰め物・被せ物治療をご提供可能です!
術中【ラバー―ダム】

術中接着

| 主訴 |
歯の奥の方が欠けて銀歯の部分の舌触りが悪い、 たまにしみる。歯を白くしたい |
|---|---|
| 診断 |
インレー(詰め物)不適合、2次う蝕 |
| 患者様の年齢 |
50歳 男性 |
治療内容 |
詰め物が比較的大きく、詰め物の下に虫歯があったため、 それらを除去し歯の表面全体を覆う セラミック(被せ物)にて修復しました。 |
| 治療期間 |
2日間 |
| 治療費用 |
110,000円(税込) |
| メリット |
・審美性に優れ、材質の劣化が少ない |
| リスク・副作用 |
・強い歯ぎしりや食いしばりなどがある方は セラミックが破折する恐れがある |
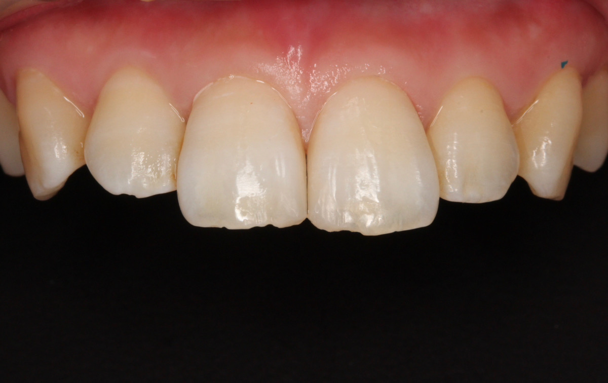
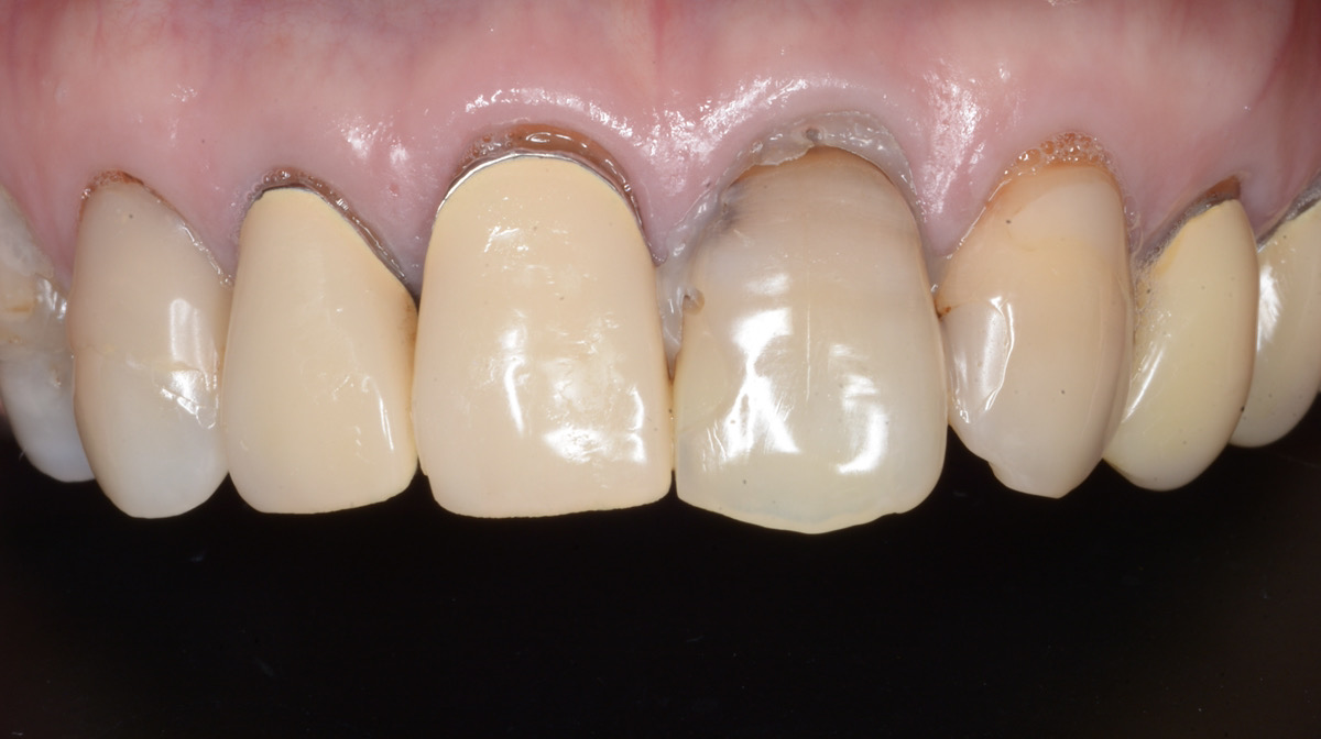
セラミック前歯の被せ物症例
治療前

治療後

術中

| 主訴 |
前歯の被せ物を綺麗に治したい |
|---|---|
| 診断 |
左上の前歯の被せ物の不適合、劣化 |
| 患者様の年齢 |
34歳 女性 |
治療内容 |
保険の被せ物を除去し、セラミックの被せ物を接着 |
| 治療期間 |
2日間 |
| 治療費用 |
132,000(税込) |
| メリット |
・見た目が改善される ・金属を使用しない(アレルギー抑制) ・プラーク付着がしない(歯周病予防) ・物質劣化が少なく安定する |
| リスク・副作用 |
歯ぎしりや噛み合わせが過度に強い方は破折のリスクがある |
銀歯をセラミックにした症例
治療前

治療後

当院ではラバーダムを使用した精密な詰め物・被せ物治療をご提供可能です!
術中【ラバー―ダム】

術中接着

| 主訴 |
銀歯を綺麗にしたい |
|---|---|
| 診断 |
左上の前歯の被せ物の不適合、劣化 |
| 患者様の年齢 |
45歳 |
治療内容 |
メタルインレーを除去しその下にある虫歯を除去、
セラミックインレーの装着 |
| 治療期間 |
2日間 |
| 治療費用 |
66,000(税込) |
| メリット |
・見た目が良くなる ・材料が変質しにくく審美性を保つ ・金属アレルギーの心配がない ・表面が滑らかで舌触りが良い |
| リスク・副作用 |
極端に強い歯ぎしりがある方はセラミックが破折する恐れがありますので、 夜間用マウスピースなどで対策する必要がある。 |
セラミックの詰め物の症例
治療前

治療後

当院ではラバーダムを使用した精密な詰め物・被せ物治療をご提供可能です!
術中【ラバー―ダム】
術中接着

| 主訴 |
銀歯を白くしたい |
|---|---|
| 診断 |
インレー下の2次う蝕 |
| 患者様の年齢 |
40歳 |
治療内容 |
銀歯(インレー)の下のむし歯を除去し、 セラミックの詰め物(インレー)を装着した。 |
| 治療期間 |
2日間(2回) |
| 治療費用 |
132,000円(66000×2) |
| メリット |
・銀歯と比較して再度むし歯が発生するリスクを下げることができる。 ・見た目が綺麗で美しい ・表面が滑沢で滑らか舌触りが良い ・金属アレルギーのリスクを下げる |
| リスク・副作用 |
・過度な歯ぎしりや食いしばりは破折の恐れがあるため、 歯ぎしり用のマウスピースの使用が望ましい |
セラミックの被せ物の症例
治療前

治療後

術中

| 主訴 |
前歯を綺麗にしたい |
|---|---|
| 診断 |
両側中切歯の審美障害 |
| 患者様の年齢 |
35歳 女性 |
治療内容 |
前歯部の虫歯治療、被せ物の治療 |
| 治療期間 |
2日間(2回) |
| 治療費用 |
¥132,000×2本=¥264,000 |
| メリット |
・前歯部の見た目の改善 ・物質の劣化が少ない ・金属を使用しない(アレルギー抑制) ・プラークが付着しづらい(歯周病予防) |
| リスク・副作用 |
・強い歯ぎしりなどでセラミックが破折する恐れがある ・治療後の一時的な知覚過敏症状が起こることがある |
前歯部ダイレクトボンディングの症例の症例
治療前

治療後

| 主訴 |
前歯の隙間を治したい |
|---|---|
| 診断 |
両側中切歯の審美障害 |
| 患者様の年齢 |
30歳 女性 |
治療内容 |
前歯部ダイレクトボンディング |
| 治療期間 |
1日(1回) |
| 治療費用 |
66,000 |
| メリット |
・前歯部の見た目の改善 ・1日で治療完了する ・歯を削らずにできる |
| リスク・副作用 |
・年数により材料が経年劣化することがあります ・強い衝撃等で一部材料が破損することがあります |
前歯部ジルコニアセラミックの症例
治療前

治療後

| 主訴 | 昔作った前歯を綺麗にしたい |
|---|---|
| 診断 | 前歯部の被せ物の不適合 |
| 患者様の年齢 | 52歳 女性 |
治療内容 |
古い被せ物を除去し、ジルコニアセラミッククラウン装着 |
| 治療期間 | 2日間 |
| 治療費用 |
132,000×4=528,000円 |
| メリット | ・見た目が綺麗になり若返る ・セラミックの表面はプラークがつきにくく衛生的である ・金属と異なり腐食がない |
| リスク・副作用 | 強い食いしばりや衝撃で破損することがある |

