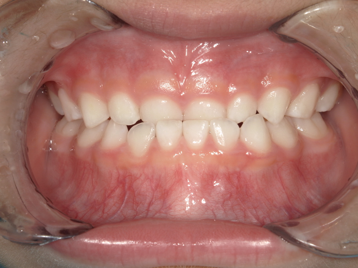
受け口の症例
治療前

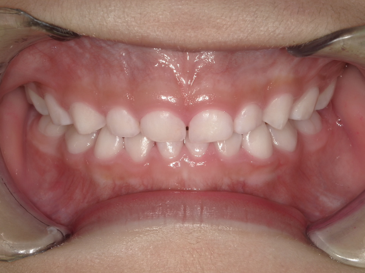
治療後

| 主訴 | 子供の受け口を治したい |
|---|---|
| 診断 | 反対咬合 |
| 年齢・性別 | 4歳 男児 |
| 治療内容 | プレオルソ+MFT(筋機能療法) |
| 治療期間 | 4ヶ月 |
| 治療費用 | 55,000円(税込) |
| メリット | ・早期に正常な噛み合わせをつくれる ・基本は寝る時に装着しているので負担が少ない ・矯正中の痛みを感じにくい |
| リスク・副作用 | ・装着を怠ると後戻りする可能性がある ・骨格的問題が発生する年齢で再度受け口になる可能性がある |


| 主訴 | 子供の受け口を治したい |
|---|---|
| 診断 | 反対咬合 |
| 年齢・性別 | 4歳 男児 |
| 治療内容 | プレオルソ+MFT(筋機能療法) |
| 治療期間 | 4ヶ月 |
| 治療費用 | 55,000円(税込) |
| メリット | ・早期に正常な噛み合わせをつくれる ・基本は寝る時に装着しているので負担が少ない ・矯正中の痛みを感じにくい |
| リスク・副作用 | ・装着を怠ると後戻りする可能性がある ・骨格的問題が発生する年齢で再度受け口になる可能性がある |